心臓イメージングおよび妥協のないスキャンを進化させたSpectral CT 7500は、一度で最適な画像を取得できるようサポートします。
心臓イメージングおよび妥協のないスキャンを進化させたSpectral CT 7500は、一度で最適な画像を取得できるようサポートします。

シンプルなワークフローで、 スペクトラルは常にオンになっているので、どのスキャンでも従来画像とスペクトラル画像の両方が使用できます。
スペクトラル情報が100%使用可能

さらに多くの患者に対応 心臓検査や救急、小児、オンコロジー、インターベンションなど、幅広い領域で対応可能性を広げる機能を拡張しました。

診断までの時間を短縮 ディテクタベースのスペクトラルCTを使用したルーチンスキャンでは、診断までの時間が34%短縮されました。*
詳細について…青い円をクリックして、Spectral CT 7500の特長をご確認ください。
撮像視野の広いスペクトラル心臓イメージングを使用して、お使いの心臓用機能を拡張して向上させることができます。冠動脈のカルシウムブルーミングを低減できます。
撮像視野の広いスペクトラル心臓イメージングを使用して、お使いの心臓用機能を拡張して向上させることができます。冠動脈のカルシウムブルーミングを低減できます。

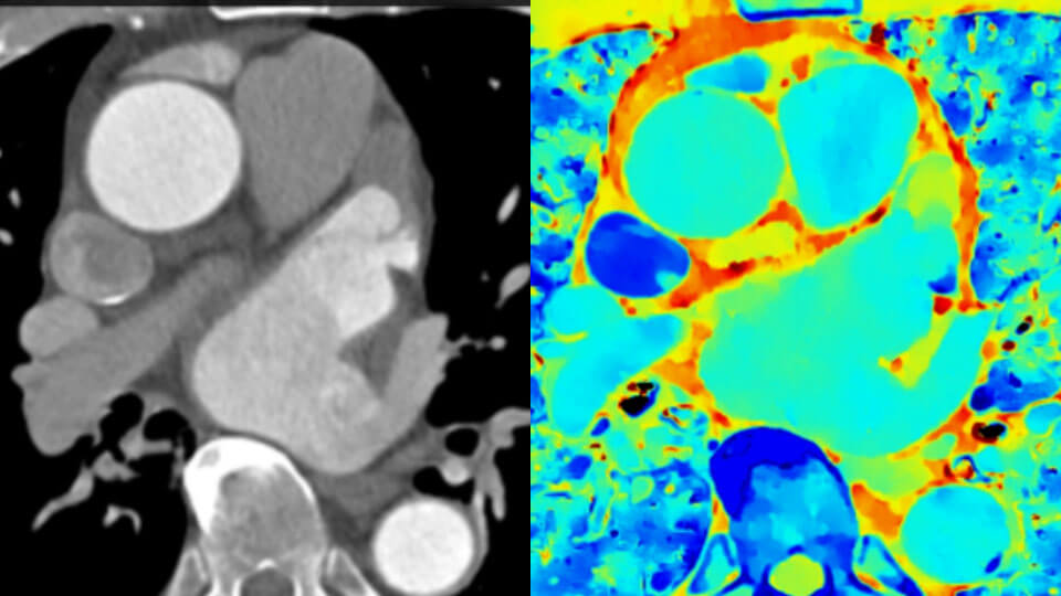
標準のCTの画像(左) スペクトラルディテクタCTの画像(右)
標準のCTでは「対象物がどこにあるか」がわかるのに対し、スペクトラルディテクタデータからは「対象物は何か」が明らかになり、これからは両方の情報を簡単に得られるようになります。情報量の多いスペクトラルデータを重ね合わせることで、組織の特性評価と視覚化が改善され、患者の検査が最適でなかった場合や、偶発病変が見つかった場合に、フォローアップスキャンを行う必要性が低減される可能性があります。

標準のCTの画像(左) スペクトラルディテクタCTの画像(右)
スペクトラルCTに関する真実は意外なものかもしれません。ディテクタベースのスペクトラルCTに関して最も多い6つの誤解と真実についてご覧ください。
スペクトラルディテクタCTが用途に合うかどうか、専門家にご相談ください。

Spectral CT 7500の詳細を見る

スペクトラルディテクタテクノロジーの違いの紹介

すべてのCTソリューションをご覧ください
*腎不全のある患者に対するIQonの経済的影響。当社のホワイトぺーパー。
販売名:スペクトラル CT 7500
医療機器認証番号:303AFBZX00042000
設置管理医療機器/特定保守管理医療機器
管理医療機器
You are about to visit a Philips global content page
Continue