
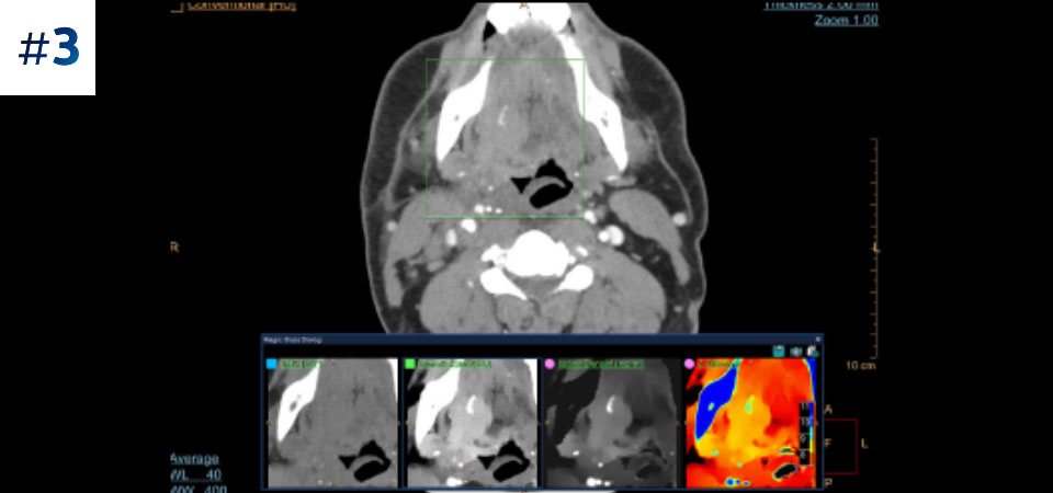
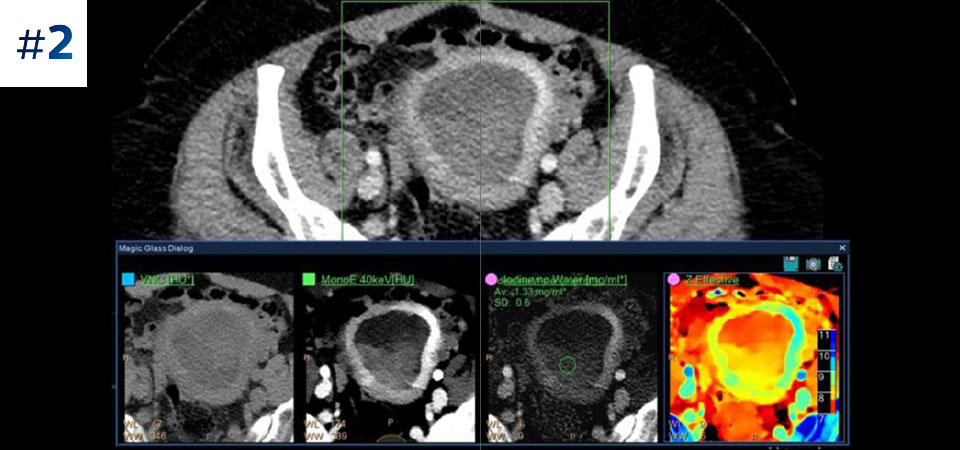
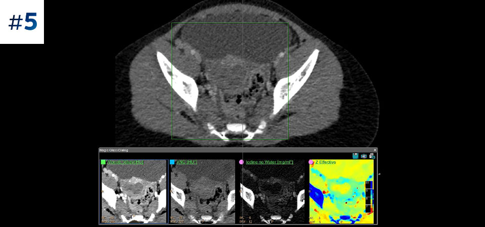
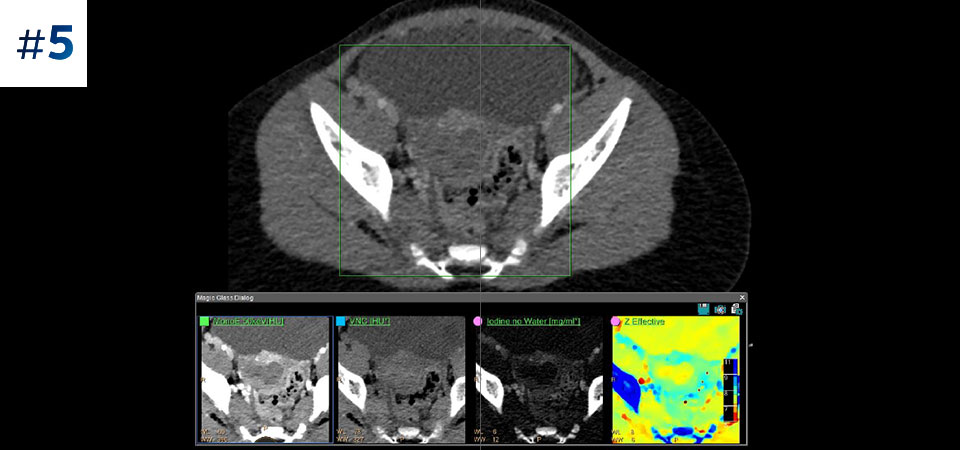
通常どおりにスキャン いつでもどの患者に対しても、1回の高速な低線量スキャンで標準データおよびスペクトラルデータを取得できます。

常に使用可能 スペクトラルデータは常に100%使用可能であり、検査結果はいつでも、オンデマンドだけでなく、レトロスペクティブに取得することもできます。

フォローアップ検査の削減 組織の特性評価と視覚化が改善されることにより、患者の検査が最適でなかった場合や、偶発病変が見つかった場合に、フォローアップスキャンを行う必要性が低減される可能性があります。

さまざまな患者タイプ 小児患者から肥満患者まで、幅広い患者タイプにメリットがあります。
Our Philips spectral-detector CT allows us to acquire conventional and spectral data in one scan, with no change in our current workflow.
Dr. Charles White
Professor of Pulmonary and Critical Care Medicine, University of Maryland School of Medicine
今年は、スペクトラルディテクタCTで画期的な変革が起きています。最新情報の取得に登録して今後の最新情報をいち早く入手するか、営業担当者に詳細をお問い合わせください。

Learn about the advantages of spectral-detector CT

Re-experience the Philips 2020 spectral CT virtual summit

すべてのCTソリューションをご覧ください
You are about to visit a Philips global content page
Continue