
脳や脊椎を検査する場合、Compressed SENSEの能力を活かして2Dシーケンスをより有用な情報が得られる3Dシーケンスに入れ替えることが有効です。これにより、詳細な解剖学的情報が求められる場合でも高い空間分解能が得られます。

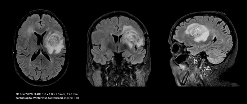
Compressed SENSEを使用すると、単一方向の2D FLAIRを多断面観察が可能な3D FLAIRに入れ替えることができます。この3D FLAIRの撮像時間は3分30秒です。
これまで多くの脳の画像診断を行ってきましたが、以前はFLAIRシーケンスを5 mm厚のスライスで使用していました。現在では、Compressed SENSEを使用して、以前は約6分間かかっていた3D FLAIRを3分30秒で完了できるようになりました」
Mark Oswood医師、医学博士、神経放射線科医、Hennepin Healthcare、ミネアポリス、米国

従来のMR撮像技術では、高分解能の画像を取得しようとすると撮像時間が長くなり、患者に痛みや不快感を与えてしまうおそれがありました。また、このような長時間撮像を行うと、検査数が多い場合、限られた検査枠内で高分解能の撮像の追加が難しくなる場合もあります。Compressed SENSEでは、5分未満でサブミリメートル未満(0.7 mm以下)の高速3D等方性画像を取得し、診断の難しい疾患や検査に役立てることができます。

乳がんのある患者
左の画像:従来の3D mDIXON XD(等方ボクセルサイズ:1.0 mm、スキャン時間:2分22秒)
右の画像:Compressed SENSE 3D mDIXON XD(等方ボクセルサイズ:0.8 mm、スキャン時間:2分21秒)
資料提供:倉敷中央病院、岡山
乳腺の撮像においては、非常に小さい病変を識別できるよう高い空間分解能であることが重要です。そのためには、短いスキャン時間だけでなく、2D T1強調画像とT2強調画像における高い空間分解能も必要です。Compressed SENSEを使用することで高い空間分解能が得られ、より確信のある画像診断を行うことができます」
小山貴医師、博士(医学)、放射線診断医、放射線診断科主任部長、放射線センター長、倉敷中央病院

Compressed SENSEを使用することにより、同じMR検査枠でより多くの情報を取得できる高い柔軟性が得られます。また、高速化によって、機能的シーケンスなど特殊なシーケンスをさらに追加してより有用な診断情報を取得することができます。

このケースでは、同じ検査枠内にシーケンスを追加して、診断能を向上させています。ここでは、従来のTSEシーケンスに加えて、診断に役立つ追加の情報が含まれたDWIシーケンスを同じ検査枠内に追加しています。
Compressed SENSEを使用した高速化スキャンによって時間を節約できるので、高画質の画像を取得して診断能を高めるためのシーケンスを追加できます。
福島沙知氏、放射線技師、倉敷中央病院

Philips Compressed SENSEを導入したことによる利点は、あらゆる身体部位だけでなく、2Dスキャンや3Dスキャンにも幅広く適用できるようになったことです。これは本当に大きな変化です」
Lawrence N Tanenbaum医師、RadNet、Beverly Hills、カリフォルニア、米国
You are about to visit a Philips global content page
Continue