
MR検査を受ける患者は、MR装置から発生する音や、狭い空間に閉じ込められることに不安や緊張を感じることがあります。Compressed SENSEではMR検査時間が短縮されるため、スタッフが患者に検査時の注意点を説明する時間を長く費やすことができ、患者の不安を和らげることができます。

Compressed SENSEの導入後、倉敷中央病院では、検査準備中に患者に費やせる時間が67%増加しました。結果として、インシデントやエラーの発生が平均で70%低下しました1,2
Compressed SENSEを使用してスキャン時間を短縮し、過密な業務スケジュールによるMRスタッフのストレスも緩和されました。技師たちは、短縮された時間で画質の改善や検査の準備、安全対策に専念することができています」
熊代正行博士、放射線技師および放射線技師長、倉敷中央病院

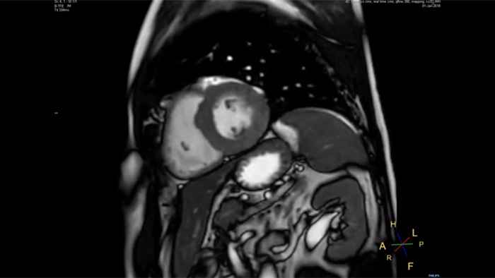
Philips Compressed SENSEを使用すると、MR検査時間を短縮できます。さらに、Compressed SENSEでは息止め時間を短縮できるため、MR検査の質を向上させることができます。

息止め時間、4.8秒
患者にとって息止め時間が短い方が負担が少なく、息止めの失敗が大幅に減少します。
当院では、心臓MRに必要な息止め回数や息止め時間を減らすことができました」
小山貴医師、博士(医学)、放射線診断医、放射線診断科主任部長、放射線センター長、倉敷中央病院
15~16秒におよぶ息止め時間は、心疾患患者にとって苦痛となることがあります。Compressed SENSEには、息止め時間10秒未満のプロトコルが実際に搭載されています。息止め時間が短いほうがはるかに楽なので、検査の満足度が大幅に向上します」
Trevor Andrews博士、MR技師、バーモント大学メディカルセンター、米国
消化器腫瘍科では長時間の臥位が困難な患者もいるため、Compressed SENSEのスキャン時間は大きな意義を持つと思います。なぜなら、こうした患者は痛みがあったり、呼吸サイクルが低下していたりするためです。たとえば、ダイナミックmDIXONシーケンスでの息止め時間は12~13秒ですが、これを9秒まで短縮できれば、患者は非常に楽になるでしょう。そして、それが画像品質の向上にもつながります」
Christoph Juli医師、Spitalklinikum Spital Uster、スイス

Compressed SENSEを使用すると、SARが低減されます。これは患者によい影響をもたらすとともに、より難しい検査を受け入れることができるようにもなります。
特殊なSARレベルが要求される金属製のインプラントを装着した患者に対しては、MRIスキャンが困難な場合があります。Compressed SENSEを併用するとMRI検査全体に要する時間を短縮でき、条件付きMR対応インプラントメーカーが指定した制限範囲内にSARを抑制できます。これにより、MRIスキャンに適さなかった患者の検査を行うことができます。また、撮像時間が短縮されるため、患者の快適性がより向上します。

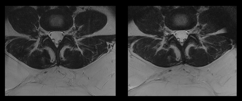
Compressed SENSE使用時/不使用時の脊椎シーケンスの比較
左の画像:従来の撮像(SARレベル:2.5W/kg、スキャン時間:7分33秒)
右の画像:Compressed SENSEによる撮像(SARレベル:1.9W/kg、スキャン時間:3分21秒)
麻酔を投与せずにスキャンできる小児の最小年齢を研究しており、Compressed SENSEは、この研究プログラムにおいて基礎となる装置です」
Jeffrey H. Miller医師、Chief of Radiology、Phoenix Children’s Hospital、米国


腹部MRが必要な患者に鎮静剤を投与するかどうか判断に迷うケースがありました。医療チームは患者の両親と相談したうえで、麻酔を投与せずCompressed SENSEを使用して、その小児患者に検査を実施することにしました。結果として、麻酔を投与せずに検査を完了することができました」
Jeffrey H. Miller医師、Chief of Radiology、Phoenix Children’s Hospital、米国
You are about to visit a Philips global content page
Continue