Lumify は、ポータブル超音波診断装置でありながら、フィリップスの高いトランスジューサ技術による高画質を実現しました。アンドロイドをベースとしたソフトウエアを使用しており、直観的かつ簡便な操作で検査を行うことができます。Lumify は、 ポイントオブケアにおける超音波の力を高め、より迅速な診断をサポートします。

Lumify のトランスジューサは、数十年にわたる超音波開発技術をもとに開発されました。さまざまな環境、診断領域において、非常に優れた画質で迅速な診断をサポートします。

メールやネットワークを通じた PACS への接続で、簡単に画像を共有することが可能です。さらに、Reacts 遠隔診療支援機能を使うことで、リアルタイムにエコー画像を共有し対面でのビデオ通話、遠隔診療支援をすることが可能です。

Lumify には、さまざまな自動化技術が搭載されています。 2D 画像を自動で最適化する AutoSCAN 機能や、肺エコーで最大 B-line 数を自動計測する機能は、直感的でシンプルな操作性を実現します。
POCUS における Lumify の有用性
社会福祉法人 三井記念病院 循環器内科 田中 旬 先生
心エコーにおける Lumify の有用性
聖マリアンナ医科大学 循環器内科 出雲 昌樹 先生
聖マリアンナ医科大学病院 超音波診療技術部 塩川 則子 先生

Philips Lumify を使用しているご施設や先生方の声をお届けします

Philips Lumify を使用しているご施設や先生方の声をお届けします

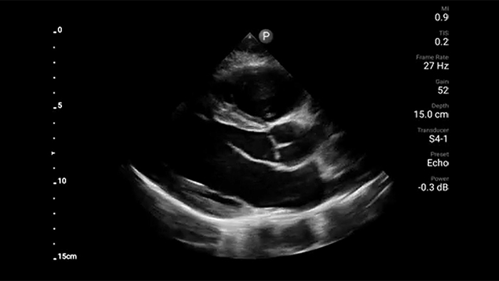
循環器領域
心内膜・心筋・弁が明瞭にリアルタイム性高く描出されます。

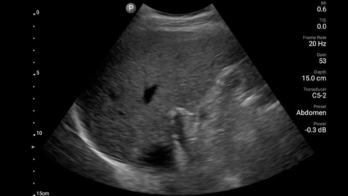
消化器領域
肝実質の性状が深部までクリアに描出されています。

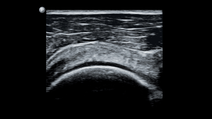
整形領域
腱や神経がクリアに描出されています。

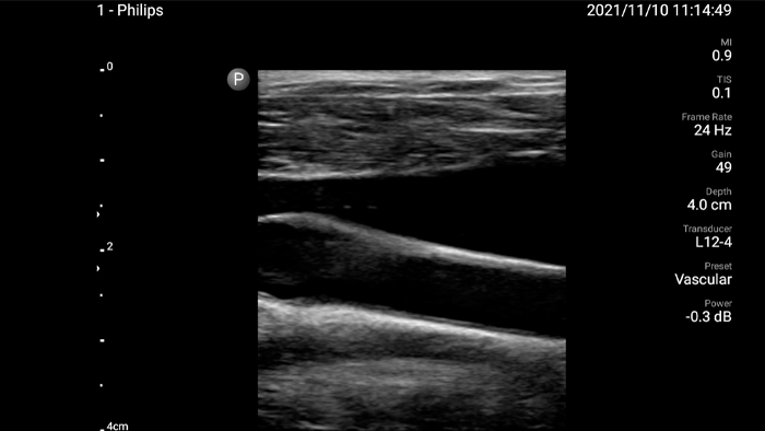
血管・インターベンション
血管の構造や血流、針先がクリアに描出されています。

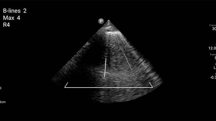
呼吸器領域
肺野の最大 B-Line 数を自動で計測できます。

産婦人科領域
胎児の臓器構造や臍帯血流が明瞭に表示されます。
以下のアプリケーションが本体に付属しています。
B-Line カウンティング機能*¹

自動で最大の B-Line 数をカウントする機能です。
Reacts 遠隔画像共有機能*²

遠隔ユーザーとリアルタイムに超音波画像や音声を共有するツールです。検査の手技向上や遠隔医療をサポートします。
*1: セクタプローブ、リニアプローブで使用可能です。 *2: Reacts は Remote Education, Augmented Communication, Training and Supervision の略です。3 年間、または 5 年間ライセンスをご購入いただく有償オプションです。診断用途でのご利用はできません。本技術の提供には、各ユーザーによるインターネット環境の構築が必要となります。
タブレットの種類に応じて、5 年間と 3 年間の保守サポートプログラムをご用意しております。
保証につきまして詳しくは下記資料をご確認ください。
より安全で快適にご利用いただくため、ESET ソフトウェアのアップデートについてご案内します。最新ソフトウェアへのアップデートをお願いいたします。
ご不明点がございましたら、お問い合わせ窓口へご連絡ください。
ご注意: Panasonic社製タブレットFZ-A2およびB2は、ESETバージョン4以上には対応しておりません。
対象
Lumify 超音波診断装置にインストールされている ESET ソフトウェア
ソフトウェア・アップデート実施手順
お問い合わせ窓口
フィリップス Lumify 業務センター(lumify-japan-usmk@philips.com)
販売名:超音波画像診断装置 Lumify 医療機器認証番号:302AFBZX00043000 特定保守管理医療機器/管理医療機器
You are about to visit a Philips global content page
Continue