


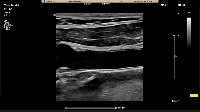
XL14-3 xMATRIXトランスジューサは、実に56,000素子を配列し、すべて別のマイクロチャネルに接続されています。XL14-3トランスジューサは、血管構造およびプラーク形態を描出するための薄いスライスと多段フォーカス機能を備えています。主なメリットは、狭窄や不安定プラークを評価する際の診断確度の向上があります。


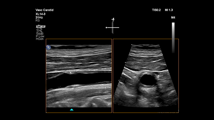
XL14-3 xMATRIXトランスジューサは、縦断面および横断面を同時にリアルタイムで描出して血管検査の標準アプローチを超える、xPlaneイメージングを提供します。xPlaneイメージングの主なメリットとして、トランスジューサを回転することなく直交断面を収集できる点が挙げられます。トラックボールのシンプルな動きで、完全な解剖学的評価を提供し、検査時間を短縮できます。


XL14-3 xMATRIXは、xPlaneドプラ機能も備えています。xPlaneパルスドプラは縦断面および横断面の参照画像を使用して、ドプラサンプルボリュームの位置決めを正確に行います。xPlaneドプラの主なメリットには、有意狭窄のサンプリング時に、サンプルボリュームの位置決めエラーを減少させ、高い再現性と一貫性を実現する点が挙げられます。



XL14-3


3D/4Dユーザーインタフェースは、フローデータを使用したVessel Cast生成機能も備えています。3D Vessel Cast生成機能により、フローを直接描出して、狭窄や蛇行状態を詳しく観察することができます。主なメリットとして、血管構造を高画質の3D/4Dで描出できるため、医療従事者の間で臨床的判断を促進し、患者本人による病状理解を促すコンサルテーションを強化する理想的なコミュニケーションツールとなる点が挙げられます。



当社の次世代画像処理機能は、血管分岐部の高度な描出と、強化されたプラークテクスチャの表現により、血管イメージングを新しいレベルへ押し上げます。XRES Proは、アーチファクトを低減することで、技術的に困難な患者も含め、血管イメージングにおける診断確度を高めます。



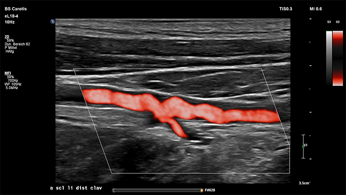
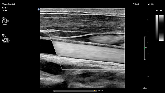
MicroFlow Imagingは、組織内の低流速かつ微細な血流を高感度で検出し、血管検査におけるフロー分解能を強化します。高分解能と最小限のアーチファクトにより、臨床医は狭窄プラーク周辺のわずかな血流障害を描出して特性を評価し、確実な診断を行えます。





人間工学に基づいた軽量で多様なトランスジューサが使用可能です。フィリップスのトランスジューサに関する詳細な情報や、ケアとメンテナンスについては次のリンクをご確認ください。




You are about to visit a Philips global content page
Continue