MR 検査では、生産性の向上、患者満足度の向上、診断精度の向上を目的に検査運用を行っています³。
フィリップスは 2000年当初、SENSE の臨床への導入から始まり、Compressed SENSE に至るまで技術革新を遂げてきました。これら、実績あるテクノロジーをベースに AI を活用することにより、さらなる強化を図ることができます。
Philips SmartSpeed は、AI の搭載と対応シーケンスの拡大により、MR 検査のニーズに応え、高速かつ高画質イメージングを提供します。

最大 65% の高速化¹
SmartSpeed は、撮像時間を最大 65% 向上させることができます¹。これにより、生産性を高めた検査運用が可能です。

最大 65% の高分解能化¹
SmartSpeed は、空間分解能を最大 65% 向上させることができます¹。これにより、画像診断の精度を向上させるための情報を提供できます。

97% のシーケンスに対応²
SmartSpeed は、全シーケンスの 97% に対応しており、幅広い検査への対応が可能となります²。これにより、多くの診療ニーズに応えることができます。

Compressed SENSE: 最適化された k-空間サンプリング(Balanced k-space sampling)と SENSE のリファレンスデータを使用し、画質劣化を抑えた高速化を可能としたスピードエンジンです。
Compressed SENSE: 最適化された k-空間サンプリング(Balanced k-space sampling)と SENSE のリファレンスデータを使用し、画質劣化を抑えた高速化を可能としたスピードエンジンです。

Adaptive-CS-Net:Fast MRI Challenge でトップを受賞した AI 再構成技術で、画像再構成の初期工程から繰り返し Deep Learning を使用し、画像データの精度を最大限に高めます⁴。
Adaptive-CS-Net:Fast MRI Challenge でトップを受賞した AI 再構成技術で、画像再構成の初期工程から繰り返し Deep Learning を使用し、画像データの精度を最大限に高めます⁴。

AI ベースの Philips SmartSpeed 再構成は、高速化技術の新たなベンチマークとなっています。この技術により Compressed SENSE があらゆる面で向上し、優れた画質と診断精度を維持しながらスキャン時間を短縮できます。"
Dr. Grisca Bratke
University Medical Center Cologne, Germany

Philips SmartSpeed には優れたノイズ除去機能が搭載されており、スキャン時間を延長することなく、非常に高分解能のイメージングを実現できます。これは、血管系の小さな病変を描出する場合などに非常に重要です。"
吉田 学誉 先生
東京警察病院


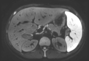
T2w TSE
Ingenia Ambition 1.5T


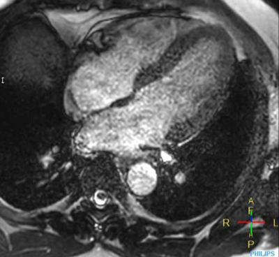
Cine 2D BFFE (4 CAV)
Elition X 3.0T
東京警察病院




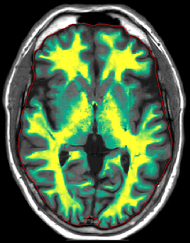
AI 再構成技術 SmartSpeed と定量 MR を組み合わせた Smart Quant Neuro は、1回の高速定量スキャンでマルチコントラスト画像と定量画像が得られ、診断の信頼性を向上させます。


お問い合わせフォームに必要事項をご記入ください。SmartSpeed など AI⁵ によるフィリップのMRソリューションについて、当社担当営業からご連絡いたします。


1. Philips SENSEとの比較。
2. Philips MRのインストールベースから施設全体のサンプルを測定し、平均した結果。
3. MI&AインサイトレポートMR 2021年第1四半期。
4. Adaptive-C-SENSE-Net技術は、Facebook AI ResearchとNYU Langone Healthが主催するFastMRI Challengeで最高位を獲得した技術です。
5. EUハイレベル専門家グループによるAIの定義。
You are about to visit a Philips global content page
Continue