移動式の立位撮影装置VMやスイベル機能付の寝台など フィリップスならではのルーム構成で多彩な検査に柔軟に対応します。
Compare side-by-side with a conventional image processing and see the benefits for yourself.

天井走行式支持装置の12 インチのタッチスクリーンにより、従来は検査室の外で行っていた患者の確認、撮影パラメータの変更、撮影画像のレビューなどの操作を患者の近くで対応することで、検査時間を1検査あたり38秒短縮*¹します。加えて、フィリップスのグリッドレス撮影機構SkyFlow Plusでは、1検査あたり34秒の時間短縮*¹など、検査中の医療従事者の業務負担を減らし、迅速なワークフローを実現します。

照射方向からみたライブカメラ映像により、的確なポジショニングやコリメーションをサポートします。この映像は操作室のコンソールでも見ることができ、照射直前の患者の様子を確認することで、再撮影のリスク低減にも役立ちます。

2 メガピクセルの高精細モニタを使用したタッチスクリーンコンソールは、クリアな画像確認を可能とするだけでなく、患者登録や撮影パラメータの変更、画像処理、画像出力、品質管理など、一般撮影の検査に必要な機能がこの1台に集約されています。

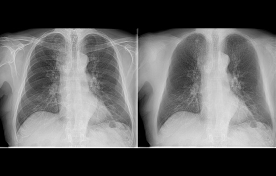
フィリップスのマルチ周波数処理UNIQUE2と胸部骨減弱処理Bone Suppression*²で、より確信のもてる画像診断をサポート。 肺結節の検出率を16.8%*³3向上します。
*1:同社の前機種を使用した検査(1検査あたり平均4枚の画像取得に基づく。フィリップス開発環境下での検証)比較 *2:Riverain Technologies’ ClearRead Bone Suppression
*3: Freedman M, Lo B, Seibel J, and Bromley E. Improved detection of lung nodules with novel software that suppresses the rib and clavicle shadows on chest radiographs. Radiology. July 2011. 260, 265-273
You are about to visit a Philips global content page
Continue