放射線治療部門の専用システムとして、または画像診断部門との共有システムとして、どちらをご検討の場合でも、フィリップスはお客様のMRIシステムの運用をスムーズに進め、放射線治療におけるMRIのメリットを最大限発揮できるようにお手伝いします。
放射線治療の領域において、MRIはさまざまな可能性を有しています。しかし、MRIを放射線治療のワークフローに組み込むにあたってはいくつかの課題があります。特に、ワークフローの新規性という課題、MRIを放射線治療特有の要求に合わせるという課題に取り組む必要があります。
放射線治療ワークフローにMRIを適切に導入することで、患者治療の新しいプロセスが開かれます。その方法をご紹介します。
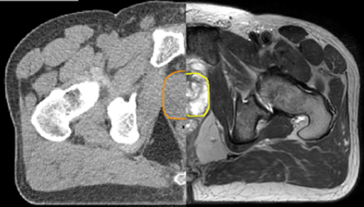
MRIは軟部組織の視覚化に優れており、幅広い画像コントラストに対応します。これにより、MRIは腫瘍の境界をより正確に描出できる強力なツールとなっています。放射線治療プロセスにおいて、標的体積の描出における不確実性が指摘されることがあります**。ターゲットとその近傍のリスク臓器をより良好に可視化することは、標的体積の描出を改善するための重要な因子です。また、MRIの役割は機能的イメージングにより広がりつつあり、ターゲットの評価と治療反応の両方の情報を提供します。

MRIはCTと比較して軟部組織のコントラストに優れているため、腫瘍の境界や近接する重要な構造をより明確に可視化できます。
さまざまなコントラスト情報の利用により、腫瘍の特徴や腫瘍の範囲について有益な情報が得られます。また、追加照射のストラテジーへの情報提供にもなります。

解剖学的情報に加え、MRIは腫瘍の検出と描出、および治療反応のモニタリングに有益な機能的情報提供することができます。
例えば、拡散強調画像(DWI)は腫瘍の水分子の移動(拡散)の制限を示すほか、リンパ節の識別にも用いられます。また、組織や病変部の見かけの拡散係数(ADC)の変化は、放射線治療に対する腫瘍の反応を予測するのに役立つ知見を提供することができます。

MRIはCTと異なり電離放射線を使用しません。患者が小児の場合は特に重要であり、長期的な二次的影響を低減するために放射線量の暴露を最小限に抑える必要があります。また、複数回撮像することも可能なため、当日の撮像による治療計画の修正や、治療効果のモニタリングによる治療計画の修正といったアプローチにもつながります。

MRI単独によるシミュレーションを目指した革新的な技術により、MR画像データからCTのような電子密度情報を導き出すこと(疑似的なCT画像による)が可能になりました。この機能により、医師は特定のアプリケーションにおいてMRIのみを使用し、煩雑でエラーの発生しやすいCT-MRの重ね合わせ(レジストレーション)を排除し、ワークフローを簡素化することができます。

Ingenia MR-RT
Ingenia MR-RTは、患者の治療部位における高品質、高コントラストなMR画像を撮像・提供する放射線治療用のプラットフォームです。放射線治療のニーズに合わせて設計されており、放射線治療計画のための多様なツールとソフトウエアを包括するソリューションです。

MRI単独による放射線治療計画
フィリップスの革新的なMRCAT (MR for Caluculating ATenuation)アプリケーションは、MRIをプライマリイメージングモダリティとして放射線治療計画に使用することができます。
MRCATで高速なMR撮像を1回*行うだけで、ターゲットとOARを描出するための高コントラストな画像とともに、線量計算用にCTと同等の電子密度情報を得ることができます。
*領域によってはさまざまなコントラストを組み合わせた撮像をします。
良好な軟部組織のコントラストのMRI画像を放射線治療計画に活用できるだけでなく、煩雑でエラーの発生しやすいCT-MRの重ね合わせ(レジストレーション)をプロセスから排除して、不確実性と複雑さを軽減できます。関連製品のクリニカルアプリケーションのセクションもご覧ください。

Elekta Unity用のMRリニアックシミュレーションパッケージ Ingenia MR-RTプラットフォームとMRリニックシミュレーションパッケージの組み合わせは、Elekta Unityの理想的な補完ソリューションです。放射線治療時のMRシミュレーションからオンラインMRガイダンスまで、一貫したワークフローと画質が得られるほか、Ingenia MR-RTとElecta Unity間で多くの類似機能を活用することで相乗効果を発揮します。
フィリップスとの連携により、放射線治療におけるMRIの知識を向上させることができます"
Marielle Philipses博士、MD、PhD
ユトレヒト大学医療センター(オランダ)准教授
放射線治療部門にMRIを正しく導入するには、ワークフローの変更、包括的なトレーニング、部門間の連携が必要です。また導入にあたっては、これまでにない課題に直面することもあります。フィリップスのユーザーコミュニティでは、放射線治療におけるMRIの使用促進に向けたさまざまな取り組みを行っています。導入とベストプラクティスに関するユーザーの知見を得られます。
MR-RTにおける臨床事例をご覧ください。
MR-RTに関する知識を深め、他施設のベストプラクティスを学ぶ機会をご提供しています。
パートナーシップを結んだ医療機関によりカスタマイズされたトレーニングは、放射線腫瘍医、医学物理士、放射線治療技師で構成される複数の専門分野にわたるチームがMRIを治療計画に導入するために役立ちます。
University Medical Center UtrechtのPhilipsen博士が、MRIを放射線治療計画ワークフローに統合した経験について説明しています。

Arhus University Hospitalは、子宮頸がんの適応放射線治療におけるMRIガイダンスの最前線に立っています。

Beaumont Health Systemは、Ingenia 3.0T MR-RTを取り入れ、ルーチン放射線治療診療にMRIを導入しました。

Elekta線形加速器と1.5T Philips MRIシステムを完全統合し、高磁界MRIガイド付き放射線治療の臨床時代を切り拓きます。
フィンランドのTurku University Hospitalの臨床医は、MRI単独によるシミュレーションを使用して、前立腺がんの放射線治療のワークフローを効率化しました。




* Pinnacle3ユーザー1名と5ビームIMRT計画を使用した非臨床環境でのテスト結果。オプションの手動調整を行う時間を除く。
** Njeh, J Med Phys. 2008, 33(4). Segedin et al., Radiol. Oncol. 2016, 50(3).
You are about to visit a Philips global content page
Continue