MR 5300を使用して、MRの生産性を向上させ、質の高い画像診断に対する高まるニーズに対応しましょう。このMR 5300はBlueSealマグネットを採用しており、複雑な臨床タスクや運用タスクを自動化するために、さまざまな場面でAI¹により検査をサポートします。そして、一番大切な患者対応に集中することができます。


自動化された 患者本位のワークフロー
約1分で患者をセットアップし、ワンクリックで検査を開始できます。検査間の準備の時間を最大30%⁴短縮します。

検査時間のさらなる高速化
Compressed SENSEは、実質的に同等の画質を保ちつつ、撮像時間を最大50%²高速化します。

画像診断の質を向上
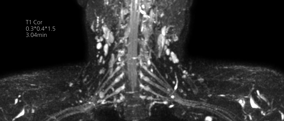
Philips Breezeコイルは、あらゆる解剖学的構造に対して一貫した高品質の画像を取得する汎用性を備えています。

継続可能なMR運用サービス³
ヘリウムフリーのMR運用は、Philipsリモートサービスに接続することで異常を予測してメンテナンスし、継続可能なMR運用をサポートします。

Breezeコイルとコネクタの軽さにはとても満足しています。患者さんもMR 5300の快適な検査体験に非常に驚いています。患者さんにご満足いただけ、私たちも満足です。"
Dayan Jackson Dudleythurai, MR Radiographer, Aleris-Hamlet Hospital, Denmark.
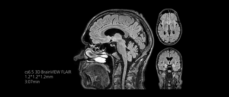
時間を味方につける - Compressed SENSEを使用すると、実質的に同等の画質を保ちつつ、撮像時間を最大50%²短縮できます。空間分解能が60%向上した高品質のMR画像を得ることで確実な診断が可能になります。

Conventional

Compressed SENSE
Philips Breezeコイルは、正確な解剖学的構造や非常に小さな関節を撮影するための優れた汎用性を備えています。最大55 cmの広い撮像視野と優れたSNRにより、高い画質が得られます。






ヘリウムフリーのMR運用と患者中心のワークフローで、生産性の高いMR検査を体感できます。


Philips BlueSealマグネットは、ごくわずかなヘリウムで1.5Tの超電導状態を安定して維持します。MRの運用において、ヘリウムの損失、再充填、予期しないコストは発生しません。

MR 5300のお客様であるAleris-Hamlet HospitalのCEO、Michael Kirkegaard氏とPhilipsのMR事業部長Arjen Radderが、ヘルスケアにおけるサステナビリティの重要性について対話します。

ヘリウムフリーのMR運用を実現するBlueSealマグネット
Philips BlueSealマグネットは、ボア内の冷却に必要な少量の液体ヘリウムを保護します。ヘリウムの損失、再充填、予期しないコストは発生しません。

MRの次のステップ
当社のMR部門のグローバルビジネスリーダーであるArjen Radderが、ヘリウムフリーのMRオペレーティングシステムの未来を形成する当社のイノベーションについて語ります。
販売名:フィリップス Ambition 1.5T
医療機器認証番号:231AFBZX00015000
設置管理医療機器/特定保守管理医療機器
管理医療機器
参考文献
1. EUハイレベル専門家グループによる定義 2. Compressed SENSEなしのフィリップススキャンと比較した場合 3. システムで提供される最小の耐用年数は10年です。消耗品やコイルなどの部品は、その耐用年数中は保証されており、当社が契約で提供しているサービスも同様です。 4. dS Anteriorコイルおよび専用MSKコイルを搭載したIngenia 1.5T / Ingenia Ambition 1.5Tにおける脳、脊髄、全身、心臓、MSKのルーチン検査とCoTを比較した場合
You are about to visit a Philips global content page
Continue