フィリップスは、患者ケアおよび医療機関の生産性の向上に貢献するため、業界をリードするヘルスケアITソリューションを提供し、より柔軟なソリューションにより正確な診断をお約束します。





読影を効率化するオールインワンビューア
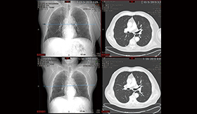
異なるモダリティ間でも使用可能な、高精度自動レジストレーション機能
CT画像とMR画像同士でも使用可能、高精度でスムーズな自動レジストレーション機能を搭載し、読影業務の効率化に貢献します。5mm以下のシンスライス、MPR、MIPにも対応し、日々の業務のあらゆる場面で比較読影をサポートします。
その他搭載機能

医療安全と業務の効率化
医療安全や情報共有に配慮し、さまざまな検索・統計機能も備えています。診断RISだけでなく、治療RISもラインアップしています。

複数施設の画像を統合管理
複数施設のPACSを連携し、検査画像を統合管理できます。システムの違いを意識しないシームレスな画像参照や、施設をまたいだ読影環境を実現します。

用途に応じて動作する柔軟な画像サーバ
さまざまな標準インターフェースを備えた画像サーバ Vue Archive は、PACSサーバとしてだけではなく、VNAとしても運用可能。WebからのNon DICOMデータの取り込みにも対応します。

あらゆる情報をあらゆる端末に
電子カルテ端末を始めとして、配信用ビューアにご活用いただけるVue Motionは、読影レポート、病変記録に加えてNon DICOMデータも表示します。また、自動位置合わせや3D機能も搭載。PACS/VNA対応ユニバーサルビューアです。

紹介画像のオンライン共有
PACS画像を患者がインターネットを通じて参照できるシステムです。患者中心の医療を実現します。

世界規模のサービスと強固なセキュリティ環境
PACSバックアップというシンプルなご要望から、関連施設との画像の共有や読影の連携といったクラウドデータの活用まで、ご要望に応じて必要な機能を、必要な範囲でご提供します。
販売名:フィリップス画像診断用ワークステーション
医療機器認証番号:22000BZX00781000
特定保守管理医療機器
管理医療機器
フォームに必要事項をご記入ください。

フィリップスのヘルスケアITソリューションを使用している臨床現場の声をお届けします。

イメージングシステム、患者モニタ、および心臓検査機器からの患者データの管理と解析を合理化すると同時に、臨床経路を向上させてワークフローを補助する技術革新も提供しています。
You are about to visit a Philips global content page
Continue