Cardiovascular Workspaceは高度な臨床専門知識と技術革新が生み出した、拡張性が高く相互運用可能なソリューションです。ご施設の心血管ケア組織全体のワークフロー運用パフォーマンス向上に寄与します。

循環器領域の患者の特徴として、再発や過去のイベントとの関連性を見るために、比較的長い期間のデータ参照が必要です。 Cardiovascular Workspaceに搭載されている タイムラインを参照することで、いつどのような検査をしたのかをすぐに把握することができます。

画像や関連情報へのアクセスを一元化することにより、迅速な臨床診断を可能にします。また臨床ツールやサードパーティアプリケーションへのアクセスも容易です。

エコビューアを使用することで、超音波診断装置上で計測したDICOMストラクチャードレポートの情報のレポート取得や再計測、解析ソフトウェアが使用可能なため、検査の後でも超音波画像診断装置を占有せずに計測、解析を行うことができます。
フィリップスの超音波診断装置に適応可能な解析ソフトウェアQLABをご提供可能です。

AutoStrain LV
Auto View Recognition、Auto Contour Placement、スペックル・トラッキングなどの高度な自動化テクノロジーが採用されており、ボタンを1回押すだけで、短時間で再現性の高いGlobal Longitudinal Strain(GLS)が得られます。

AutoStrain LA
Strain Task Forceの標準化コンセンサス・レポートに則った2Dスペックル・トラッキングを使用し、LAストレイン解析を迅速かつ簡単に評価することができます。

AutoStrain RV
Strain Task Forceの標準化コンセンサス・レポートに則った2Dスペックル・トラッキングを使用し、RVストレイン解析を迅速かつ簡単に評価することができます。

Dynamic HeartModel
取得した心臓3Dデータから、自動で心臓の駆出率(EF)を算出し、手動での計測と比較して最大82%の時間短縮を実現します。

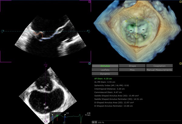
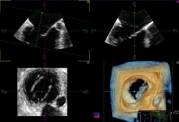
3D Auto MV
僧帽弁のLive 3Dボリュームを取り込み、収縮期全体における弁および周辺構造の動的な定性/定量データを提供します。

3D Auto RV
ボタンを押すと、十数秒以内に右心機能解析が完了します。
マルチベンダーに適応可能な解析ソフトウェアをご提供可能です。

2D STRAIN
2D心エコー画像からスペックル・トラッキングによるストレイン解析です。LV、RV、LAの2Dエコー画像からスペックル・トラッキングにより、Velocity、isplacement、Strain、Strain Rateやボリュームなどの解析パラメーターを算出します。

4D RV-FUNCTION
右心室の迅速かつ再現性のある解析結果を提供し、右室形状の複雑さを3次元で視覚化することにより診断の信頼性を高めます。

4D LV-ANALYSIS
2D画像を用いたStrain計測と比較して3D画像を用いたStrain計測は梗塞・虚血領域の範囲や拡張・収縮の時相のずれを全周性に観察することが可能です。

4D MV-ASSESSMENT
3次元画像表示を用いることにより僧帽弁の正確な形状の構築・定量評価を可能です。

4D CARDIO-VIEW
ベンダーに依存しない3Dエコー画像のレビューと心臓の構造解析が可能です。

CARDIAC MEASUREMENTS
エコー装置とほぼ同等な計測機能(Mモード、2Dモード、ドプラ)を提供します。
販売名:フィリップス画像診断用ワークステーション
医療機器認証番号:22000BZX00781000
特定保守管理医療機器
管理医療機器
イメージングシステム、患者モニタ、および心臓検査機器からの患者データの管理と解析を合理化すると同時に、臨床経路を向上させてワークフローを補助する技術革新も提供しています。

You are about to visit a Philips global content page
Continue