フィリップスのShear Wave エラストグラフィは、肝臓の評価をシンプル化し、肝臓の硬さの測定を迅速かつ容易にします。 肝組織の硬さを評価するこの非侵襲的で、再現性が高く、容易に実施できる手法は、従来の肝生検の必要性を低減または回避するのに役立つ可能性があります1。研究によれば、肝疾患の状態を評価する手段として、高価で痛みを伴う生検の代わりに、容易な超音波検査を行うことが普通になる可能性も示唆されています。

ElastQ Imagingは、大きな関心領域(ROI)で組織の硬さをリアルタイムでカラーコード化する定量的評価方法です。リアルタイムに肝組織の硬さを迅速に評価し、複数のサンプルポイントで定量評価を行うことができます。ElastQ Imagingには、保存済みの画像も測定できる機能が用意されています。Confidence map表示では、適切にShear Waveが伝搬されている領域で測定していること確認できるよう、インテリジェント解析がされています。Confidence map表示とStiffness map表示を組み合わせて使用することで、シアウェーブ測定の確度が向上します。2つのマップを並列表示することで、データの計測を相互に関連付けて行うことができます。

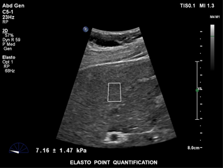
ElastPQは、事前に置いたROIで肝組織の硬さの値を取得することができる、使いやすい手法です。リアルタイムイメージングをガイドとし、関心領域にROIを置くと、数秒で組織の硬さデータ(AVG、MEAN、IQRなど)を取得して表示します。複数のサンプルを記録し、測定結果をレポート表示します。

非侵襲的ツールを使用した肝臓評価の簡素化 フィリップスのShear Wave elastographyを使用すれば、たとえ描画が困難な患者でも驚くほど容易かつ迅速に肝臓の硬さを測定できます。これは、超音波検査技師が素早く簡潔な手順で使用できる非侵襲的ツールで、患者は痛みを感じません。
詳細
当社のエラストグラフィは、焦点式超音波ビームの音響放射力を使用して、肝臓内にShear waveを起こします。システムは、Shear waveの伝搬を検出し、速度測定を行い、分かりやすく表示します。
肝臓の硬さの測定を簡単な非侵襲的スキャンにより数秒で取得

Shear Wave エラストグラフィは、EPIQ Elite、EPIQ 7、EPIQ 5、Affiniti 70超音波診断装置に搭載することができます。
You are about to visit a Philips global content page
Continue