1st Trimester Imaging

妊娠全周期で信頼できる画像

EPIQ の高度なトランスジューサは、困難な婦人科検査や妊娠初期から後期検査までのニーズに対応します。

 

  • 特に妊娠初期、中期、後期における高周波OBイメージング用に設計されたC9-2トランスジューサ
  • 難しい子宮筋腫や複雑な卵巣症例、および妊娠初期のイメージングに最適なC10-3vトランスジューサ
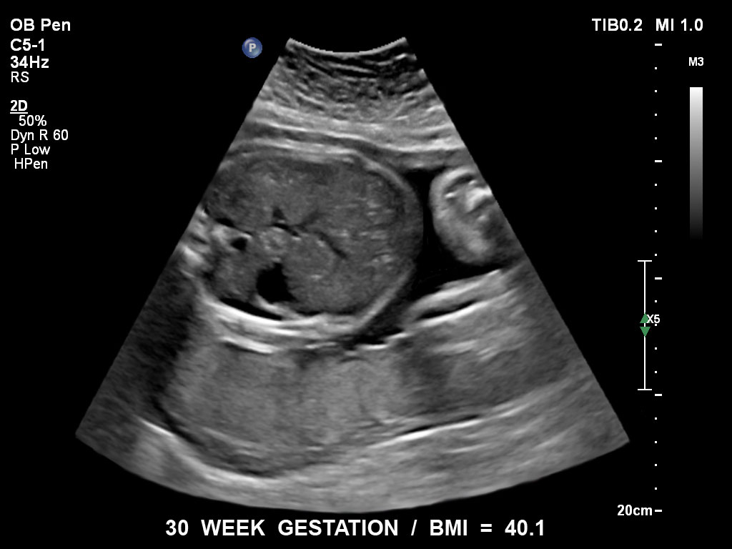
  • 妊娠後期を通して最大になる腹部、妊娠糖尿病患者、または早期破水に適したC5-1トランスジューサ
  • リアルタイムのボリューム画像および2画面同時にリアルタイムで描画する機能を備えた新次元のPureWaveにより、2D画像では対応しきれない診断要求を満たすX6-1 xMATRIXトランスジューサ

*

連絡先

* この項目は必須です。

*
*
*
*
*
*
*
*
*

連絡内容の詳細をお知らせいただくことにより、より適確な情報をお知らせいたします。

We work with partners and distributors who may contact you about this Philips product on our behalf.

*
*

Final CEE consent

You are about to visit a Philips global content page

Continue

You are about to visit a Philips global content page

Continue

当社サイトを最適な状態で表示するには、最新バージョンの Microsoft Edge、Google Chrome、または Firefox をご利用ください。

あなたは医療従事者ですか?

ご注意:

このホームページは、当社の医療機器に関する情報を、医療従事者の方へご提供することを目的として作成しております。一般の方への情報提供を目的としたものではありませんので、あらかじめご了承ください。