デジタルブロードバンドアーキテクチャであるdStreamテクノロジーでは、コイル内でMR信号をデジタル変換します。
フィリップスのdStreamデジタルブロードバンドアーキテクチャにより、高品質画像と高速化が実現します。アップグレードが容易で、チャンネルから独立したRF技術により、信号対雑音比が最大で40%向上¹し、スループットが改善されます。 dStreamはコイル内でMR信号をデジタル変換します。これによってアナログ回路でよく見られるノイズの影響が取り除かれ、予歪や圧縮をせずにMR信号を取り込みます。光ファイバーでコイルから画像再構成装置を接続することにより、損失の少ないブロードバンドデータの伝送が可能になります。
dStreamテクノロジーは、大きな違いをもたらします。"
Chip Truwit, MD, Chief of radiology, Hennepin County
Medical Center, Minnesota, USA

dStreamアーキテクチャでは、DirectDigital RFサンプリング方式を使用してデジタル変換を行っています。この方式では、MR信号をDC変換せずに直接サンプリングします。この技術により、コイルのエレメントとアナログ・デジタルコンバータ(ADC)との間の信号をダウンコンバートする際に、中間のアナログ段階がすべて排除されます。

全体的な結果として簡略化された受信アーキテクチャが得られます。このアーキテクチャにはコンポーネントがほとんどなく、消費電力が低減されます。また、SNRとダイナミックレンジが高く、信号とフェーズの安定性が向上します。

デジタル変換はコイル内で行われます。ADC機器は小型化され、コイル内に配置されています。
光ファイバーケーブルは1本で任意の数のRFチャンネルに対応し、複数の同軸ケーブルの代わりとなって画質を維持します。これによりRFチャネルの数がシステムの仕様から外れます。

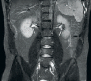
結果: SNRおよび画像解像度の改善

結果:同じスキャンパラメータでノイズの多い画像
一貫性の向上と画質の改善
dStream RF受信技術により、MR信号をRFコイル内で直接デジタル変換できます。これにより、画像ボリューム全体にわたってSNRが最大40%向上¹しました。
ワークフローの簡素化およびスループットの改善
テーブルトップに背面コイルが搭載されたことで、多くの検査でコイルを取り扱う必要がなくなりました。前面コイルが軽量で不快感が少なく、コイルを片手でケーブル1本で接続できることも、操作のしやすさにつながります。


独立チャンネルにより複雑なアップグレードを簡単に RF受信チャンネルは、コイル技術の進歩に合わせてシステムをアップグレードする必要はありません。 長く使い続けられるアーキテクチャ システムを大幅に見直すことなく臨床機能を拡張できます。これにより、ライフサイクルのコストを削減しながら価値を高めることができるようになります。
¹ 非デジタル/dStreamシステムと比較した場合(当社比)

dStreamが新しいIngenia MRシステムの一部を構成する一方で、インストール済みのシステムの所有者にもメリットがあります。SmartPath to dStreamはデジタルブロードバンドMRに対して対費用効果が高く、以下のシステムに対応します。 • Intera 1.5T • Achieva 3.0T / 3.0T TX • Achieva 1.5T / XR
dStreamアーキテクチャを動画で解説
Hennepin County Medical Center(HCMC)では、dStream技術を搭載するMR装置Ingenia 1.5Tを運用しています。*
* 非デジタル/dStreamシステムのAchievaと比較して信号対雑音比が最大40%向上しました。
Hennepin County Medical Center(HCMC)では、dStream技術を搭載するMR装置Ingenia 1.5Tを運用しています。*
* 非デジタル/dStreamシステムのAchievaと比較して信号対雑音比が最大40%向上しました。
You are about to visit a Philips global content page
Continue