フィリップスのVascular suiteは、専用の血管インターベンショナルツールと高度な治療デバイスを提供して、高度な標準化をサポートし、PAD患者の転帰を改善します。これらのツールとデバイスは、治療の選択、支援、実施、および結果の確認という手技の各ステップをサポートします。

SmartCT Roadmapは、ライブ3D画像オーバーレイ機能を備え、画像をセグメンテーションして対象となる血管と病変を強調できます。SmartCT Roadmapでは血管全体、セグメンテーションされた血管、アノテーションの3D再構成画像をライブの透視像と併せてオーバーレイします。これにより3D画像の透明度とコントラストが得られ、詳細部の視認性が向上します。

Azurionハイブリッド手術室(Hybrid OR)ソリューションは、手術における感染管理および衛生に関する最高水準を満たしながら、手技の柔軟性と使いやすさに優れた外科治療環境を提供します。天井走行型システムは、多様な手技に対して制約のない撮像の柔軟性をもたらし、スタッフの立ち位置においても卓越した自由度を提供します。コンパクトな機材で、将来の治療にも対応できる費用対効果の非常に高い環境を作り出すことができます。Philips Azurion with FlexArm は、装置全体のパフォーマンス最適化や優れた診療の提供を実現します。

フィリップスの末梢血管イメージングカテーテル(IVUS)は、疾患の位置や、石灰化および血栓などの病変形態の特定に役立ちます。IVUSを活用して、ステントのサイズ決めや、治療結果の確認ができます。

適応性の高いフィリップスの末梢血管製品およびテクノロジーポートフォリオにより、臨床医は末梢血管疾患患者を迅速かつ正確に評価し、最適な治療を高い精度で行うために血管系治療の前処置を行うことができます。

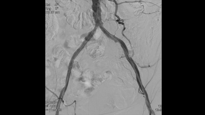
血管の高精細画像は血管の細部まで鮮やかに捉えるため、正確な治療戦略、ナビゲーション、フォローアップをサポートします。
参考文献
You are about to visit a Philips global content page
Continue