動静脈奇形(AVM)、硬膜動静脈瘻、およびその他の奇形のきわめて複雑な病態を視覚化する能力は、患者を治療すべきか、モニターすべきかを判断するうえで非常に重要です。数十年にわたり、Neuro specialistsは、フィリップスの洗練された脳血管イメージングソリューションを利用して、AVM治療の確実な計画と治療の決定をサポートしてきました。現在、この分野では未破裂AVMの医学的モニタリングへとシフトが進んでいるため、フィリップスのイメージング機能が再び重要性を増しています。

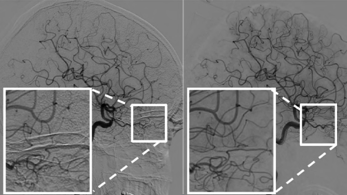
SmartCT Angioは、数秒で3D再構成画像を表示させ、feeding arteries, draining veins , arterialized veins, nidus 、破裂、未破裂の評価を支援して意思決定をサポートします。3D画像は高い分解能で可視化され、重要な細部の視認性を高めるための自動体動補正機能を有しています。

SmartCT Vasoはミリメートル以下の血管構造を可視化できることで視認性を高め、治療の信頼性を高めます。空間分解能を最大限に高めた3Dイメージング技術により脳血管構造に関する重要な情報を明らかにします。

SmartCT Roadmapはライブ透視と3D画像をオーバレイし、ターゲットとなる血管や病変を強調することで迅速なカテーテルナビゲーションを支援します。血管のセグメント、アノテーションを付加させた再構成画像をオーバーレイすることもできます。

AVMを経時的にモニタリングする場合、サブトラクションアーチファクトが臨床情報のように見える場合があります。フィリップスのClarityIQリアルタイムオートピクセルシフトにより、誤解を招く可能性のある情報をユーザーの操作なしにリアルタイムで除去することができます。

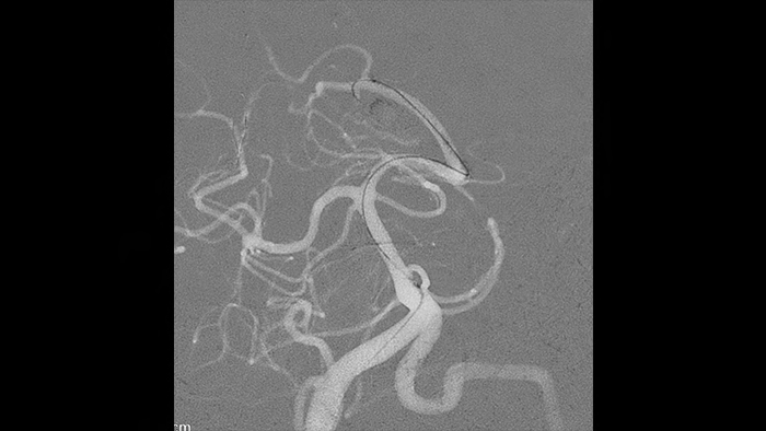
治療中、サブトラクションアーチファクトにより、液体塞栓剤の進行方向が不明瞭になる場合があります。ClarityIQでリアルタイムオートピクセルシフトを使用すると、液体塞栓剤の進行方向と到達を視覚化できます。
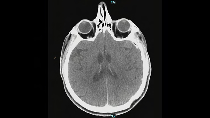
| 最終結果と出血の可能性を確認 |

SmartCT Soft Tissueは、術中に軟部組織をCTのように視覚化する撮影法です。AVM治療後に軟組織をCTのような画像で評価し、患者がカテーテルテーブルに乗ったまま最終結果と出血の可能性を確認することができます。

Roadmap Pro Glueモードでは、すでに塞栓された血管がフィルタリングされ、注入している塞栓物質とその拡散方法に焦点をあてることができます。
Azurionは、オンコールスタッフが効率的かつ容易に作業できるように設計された多くのワークフローイノベーションを提供し、放射線量を管理し、患者に集中してAVMインターベンションを実施できるように設計されています。


ClarityIQテクノロジーは、ClarityIQを使用しないシステムと比較した場合、同等の画質を維持しながらDSAでの患者線量を75%削減します¹。リアルタイム体動補正により、頭蓋骨および体動アーチファクトが除去されます。これは、頭蓋骨の底部にデバイスを留置する際に重要です。

Zero dose positionningを使用すると、テーブルのパン、テーブルの高さの変更、ラストイメージホールドの画像を参照して対象領域を中心にポジショニングが行えるため、X線を出さずにセッティング可能です。

Flexvision Proは、患者情報、術前の診断画像の確認、手技のプランニングをテーブルサイドから直接アクセスして、完全コントロールでき、操作室への移動の無駄を削減することができます。 ※FlexVision ProおよびタッチスクリーンモジュールProはAzurion 7専用であり、Azurion 3およびAzurion 5では使用できません。

ProcedureCardは、あらゆるケースにおけるシステム設定を標準化できます。どのような状況でも選択されたシステム設計により同じ品質の医療を患者に提供することが可能です。ある病院では、検査室での準備時間がProcedureCardによって12%短縮されました。²

意識下鎮静で落ち着きのない患者を抑制し、手技中の体動アーチファクトを低減するために使用できます。
参考文献 *『SmartCT Instructions for Use(SmartCT取扱説明書、英語版のみ)』に記載されているとおり。
You are about to visit a Philips global content page
Continue