
スペイン・バルセロナにあるBellvitge University Hospitalの脈管学・血管外科部長であるDr. Ramon Vilaは年間1,000例以上の血管手術を行っています。
Dr. VilaはPhilips ZenitionモバイルCアームを導入したことで、低被ばく設定でほぼすべての血管治療を行えるようになりました。
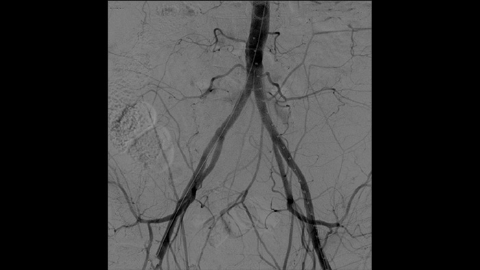
Zenitionを導入してからDSAの画質が大幅に向上した。"
Ramon Vila Coll氏
M.D.、Bellvitge University Hospital、バルセロナ
慌ただしい手術室環境での使いやすさを追求したZenitionシリーズは、Philips Unifyワークフローを基盤としており、あらゆる外科的治療中に即座に使い慣れていただくことができ、すべてのユーザーにとって自信と安心をご提供します。

インターベンショナル血管治療で必ず必要になるDSA処理は、血管の視認性を下げる要因に繋がる構造を除去する技術を用いて血管を明確に描出させます。ロードマップでは事前に撮影した差分画像がライブ透視にオーバーレイされることで造影剤の削減に繋がります。
Zenition 70プラットフォームに搭載可能なタッチスクリーンモジュール(TSM)は、術中に外科医自身がテーブルサイドでコントロールできるようにサポートします。術中の画像コントロールを自由に行えることで円滑な手技を支援します。 * TSMをオプションとして利用できるのはZenition 70のみです

アウトラインツールを使用することでモバイルビューイングステーションのモニター上に指またはマウスを使用してモニター上に滑らかな線を描くことができます。血管の分岐または側枝に簡単にマーキングすることが可能です。

CO2造影剤機能を使用することによって腎不全患者に対する血管手術治療をヨード造影剤を使用せずに安心して血管描出を行うことができます。

Philips DoseWiseは、テクノロジーと画像プログラムを独自に組み合わせたもので、ZenitionモバイルCアームシステムに搭載されています。この組み合わせによって、アプリケーションに沿って臨床的に有意義な画質を提供しながら患者および医療スタッフへの放射線被ばくを効果的に低減することができます。
Philips ZenitionモバイルCアームイメージングシステムを使用して、整形外科の症例を簡単かつ確実に実行し、実証済みの使いやすさと将来の適合性を提供します。
詳細Philips ZenitionモバイルCアームイメージングシステムを使用して、痛みの管理ケースを簡単かつ自信を持って実行し、実証済みの使いやすさと将来の適合機能を提供します。
詳細Philips ZenitionモバイルCアームイメージングシステムで、胃腸病学および泌尿器科の手順をより簡単かつ確実に実行します。
詳細
2013年11月に独立系企業Use-Lab GmbHが実施したユーザーテストの結果です。このテストには米国在住の臨床医30名(医師15名、看護師またはX線技師15名)が参加し、模擬手術室環境での模擬手術を行いました。いずれの参加者もこれまでにフィリップスのCアームを使用したことはありませんでした。
You are about to visit a Philips global content page
Continue