
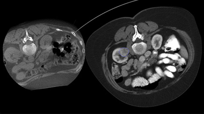
病変がはっきり見えなかったり不均一だったりすると、超音波検査または従来のCT検査で実施した場合、生検の実行可能性は制限されます。肺におけるスクリーニングプログラム導入の増加によって、小さな結節として現れる初期肺癌の検出頻度はかつてないほど高くなっています。スクリーニング対象群の14.5%が10mm以下の小結節を有することが確認されています¹⁻²。CBCTを使用したニードルナビゲーション技術により精度が向上したため、従来のCTよりも少ないニードル設置回数、かつ低被ばくで、より小さな(< =1 cm)病変や異種病変もより正確にターゲットに到達できます¹⁻²。
比較対象 従来のCT1
少ないニードル 設置回数 比較対象 従来のCT1
皮膚線量の低減 比較対象 従来のCT1


ニードルの再設置をせずに関心病変部に向けて低線量で正確にナビゲートすることで、治療成功の機会が増え、生検やアブレーションの合併症のリスクが軽減されます。アブレーション治療エンドポイントの確認は、3Dイメージングを使用して、患者がまだカテーテル寝台の上にいる状態で行うことができます。
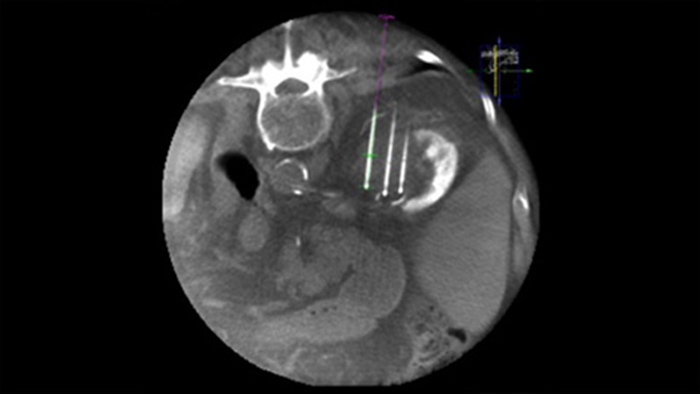
経皮的アブレーション(高周波、マイクロ波、およびクライオアブレーション)は、腎臓、肝臓、肺、および骨腫瘍の低侵襲治療として確立されてきています。腫瘍の境界を定義し、最適なニードルの数と対応するニードル軌道を決定して、よりよい腫瘍焼灼治療を実施し、周囲組織の損傷を引き起こさないようにすることが重要です。

SmartCT Soft Tissueは、コーンビームCT(CBCT)画像収集技術を提供します。この技術は、プロトコルを追ったガイダンス、高度な3D表示および測定ツールによって強化されており、すべてテーブルサイドのタッチスクリーンモジュールからアクセスできます。

Dual Viewでは、手技中3D CBCT Dual上に術前3D画像(CT/MR/PET-CT)をオーバーレイして、病変の視認性を高め、ニードル計画に必要な重要情報にアクセスできます。

XperGuideでは、事前計画した軌道を透視画像にオーバーレイ表示することで、各ニードルの高精度のライブイメージガイダンスを必要な位置に表示できます³。

CBCTを使用すると、アブレーション後CBCTを収集して腫瘍対象範囲を示し、治療の結果を確認できます。
参考文献 * XperGuide AblationはXperGuideのオプション機能です
You are about to visit a Philips global content page
Continue